دانشمندان با تزریق خون موشهای مسن به جوان، علائم پیری را در آنها ظاهر کردند
دانشمندان در آزمایش جدیدی، خون موشهای مسن را به موشهای جوان تزریق کردند و در [...]
عصای هوشمندی که میتواند مشکل بیماران حرکتی را برطرف کند
یک شرکت آمریکایی، نوعی عصای هوشمند ابداع کرده است که میتواند به بیماران حرکتی کمک [...]
ناسا نمونه پنجاه ساله ماه را بررسی میکند: آمادگی برای پرتاب آرتمیس
ناسا فکر میکند که ۵۰ سال برای نگهداری از آخرین قطعه سنگ ماه که فضانوردان [...]
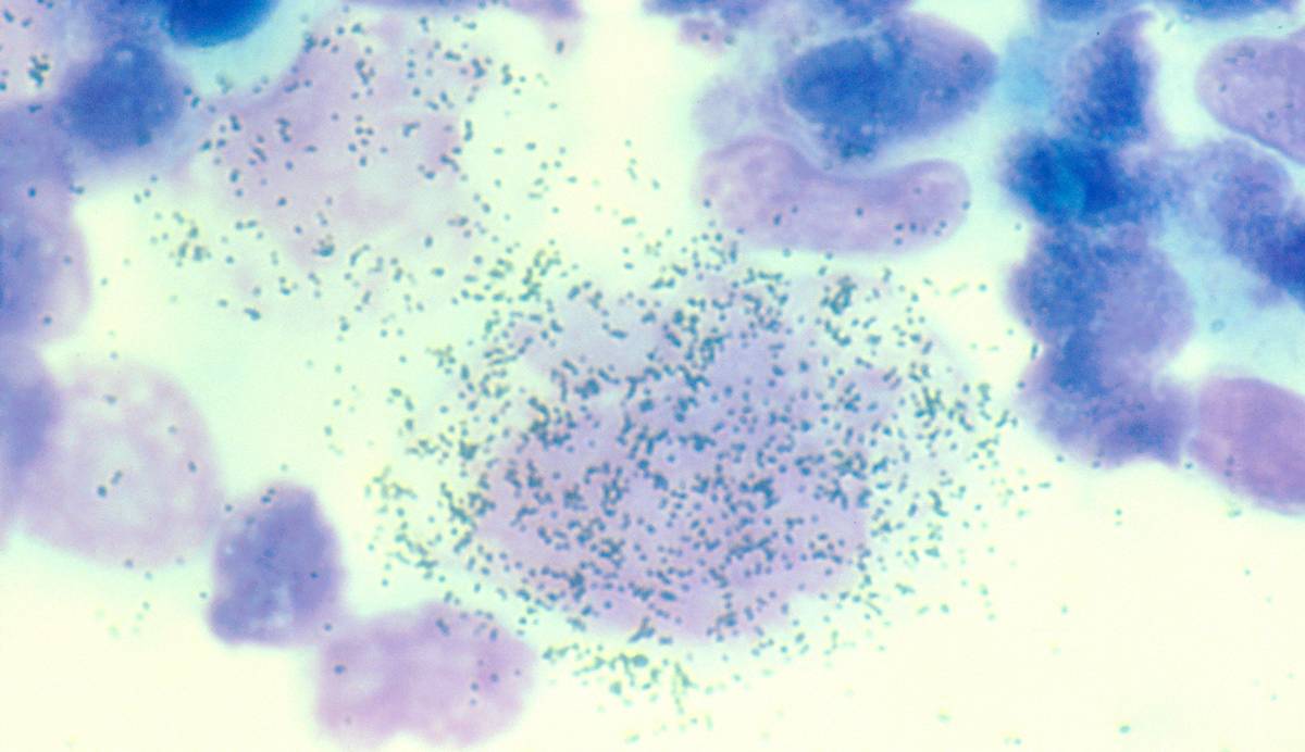
پژوهش دانشگاه هاروارد: ویروس هرپس احتمالا عامل اصلی ابتلا به اماس است
محققان اخیرا متوجه شدند که ویروس اپشتین-بار یا به اختصار EBV که در بدن بیماری [...]
