هوش مصنوعی میتواند بر ضعفهای انسان غلبه کند
هوش مصنوعی مانند هر فناوری دیگری، مزایا و معایبی دارد اما از ویژگیهای برجستهای نیز [...]
حقایق جذاب درباره مریخ که احتمالا از آنها بیخبرید
مریخ چهارمین سیاره منظومه شمسی ماست و یکی از جالب توجهترین و هیجانانگیزترین سیارههای این [...]
وزیر هوش مصنوعی امارات: قتل در متاورس باید جنایت واقعی تلقی شود
«عمر سلطان العلما»، وزیر هوش مصنوعی (AI) امارات متحده عربی در جریان نشست مجمع جهانی [...]
زنبورداری رباتیک و ساخت اولین عسل با هوش مصنوعی
گاهی اوقات چندین ماه طول میکشد تا یک زنبوردار متوجه یک مشکل در کندو شود [...]
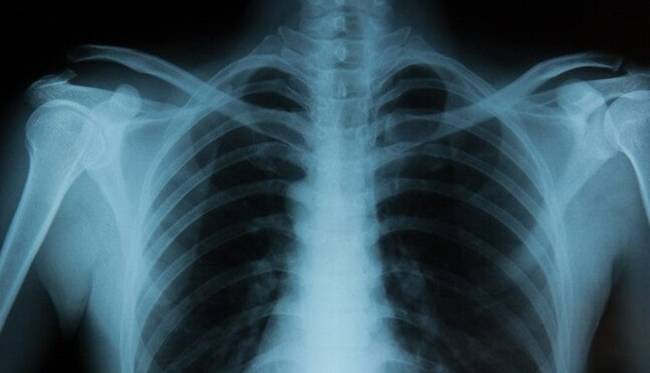
تشخیص هویت نژادی از روی تصاویر اشعه ایکس با هوش مصنوعی
تیم بینالمللی متشکل از محققان سلامت از ایالات متحده، کانادا و تایوان با در اختیار [...]
کشف یک حلقه نوری اسرارآمیز در کهکشان
محققان دانشگاه وسترن سیدنی، همراه با یک تیم بین المللی از کارشناسان، یک حلقه دایرهای [...]
وقتی پوست تان از ابتلا به پارکینسون خبر می دهد
محققان به تازگی اعلام کرده اند که بروز علائم پوستی در بسیاری از بیماران مبتلا [...]
قرارگرفتن در معرض آتشسوزی خطر ابتلا به تومور مغزی را افزایش میدهد
یک مطالعه جدید که در ماه جاری در مجله «The Lancet» به چاپ رسید، نشان [...]
هشدار فوران آتشفشانی به کمک هوش مصنوعی
محققان بین الملل در تحقیق جدیدی که در حوزه پیش بینی زلزله و فعالیت های [...]
تشخیص قدرت یادگیری دانش آموزان با استفاده از هوش مصنوعی
فناوری جدید اینتل با استفاده از نرمافزار Classroom Technologies و ضبط تصاویری از چهره دانش [...]
